


歯を削らずに、漂白剤も用いて歯を白くする治療です。
大切な記念日のために、毎日をもっと笑顔でいられるために、
あなたも輝く白い歯をとりもどしましょう。
ホワイトニングには以下のような方法があります。

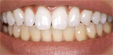
上の歯だけに
オフィスホワイトニングを行いました。
歯科医院で行うホワイトニングです。
やや濃度の濃い漂白剤を用い、光をあてて歯を白くします。
短期間で歯を白くしたい方にお勧めです。
ご自宅でできるホワイトニングです。
診療室で型をとってマウスピースを作ります。
マウスピースに漂白剤を入れて歯に装着し2時間ほどおきます。それを繰り返します。
ホワイトニングを定期的に行うことで白い歯を保つことができます。
またオフィスホワイトニングとホームホワイトニングを併用することで、よりいっそうの効果が期待できます。
原因は3つあります 。
ホームホワイトニング用の薬剤が歯茎に接触しても問題はありません。
当院のオフィスホワイトニングの薬剤は、刺激が少ないのでほとんど問題はありません。
過敏な方で、まれにあわないことがあります。
当院では、従来のものより刺激の少ない薬剤を使用していますのでほとんど痛みはありません。まれに知覚過敏になることがあります。
ホワイトニング剤に含まれる過酸化水素水や過酸化尿素が光により分解され、その時にできたフリーラジカルが
着色物質を分解します。